
Lumify видит то, что не видите вы
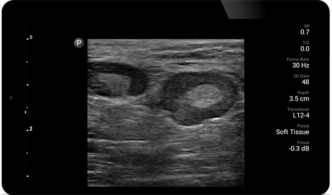
Ультразвуковое исследование может улучшить ваши возможности по выявлению и успешному лечению кожных абсцессов.

Раннее обнаружение поможет не допустить критического состояния
Застойная сердечная недостаточность сегодня становится все более серьезной проблемой. Обнаружение заболевания на ранней стадии с помощью амбулаторного ультразвукового исследования может значительно улучшить показатели выживаемости.

Результаты исследования у вас под рукой
Lumify позволяет легко хранить и получать доступ к результатам обследований и изображениям пациентов прямо с вашего совместимого устройства на базе Android или iOS. Вы даже можете поделиться этими результатами с коллегами, чтобы улучшить совместную работу.

















• Расширенный диапазон рабочих частот — от 5 до 2 МГц. • Радиус кривизны 50 мм. - 2D, цветной доплеровский режим, М-режим, продвинутая визуализация XRES и многомерная гармоническая визуализация, SonoCT. • Визуализация с высоким разрешением для исследований глубоко расположенных структур: оптимизированные предустановки для исследований брюшной полости, желчного пузыря, легких и для диагностики в акушерстве/гинекологии. • Маркер центральной линии. • Датчик USB-C со сменным кабелем.


Lumify может помочь вам принимать решения в режиме реального времени с большей уверенностью, от первичной диагностики до выздоровления. Раскройте тонкие детали изображения, изучите мельчайшие структуры ткани под несколькими углами и многое другое.

Пример из клинической практики
Тампонада сердца маскируется под боль в животе

Обучение
Оценка функции левого желудочка

Краткое руководство
УЗ-исследование POC для мягких тканей
You are about to visit a Philips global content page
Continue