
Снижение частоты осложнений при интервенционных процедурах
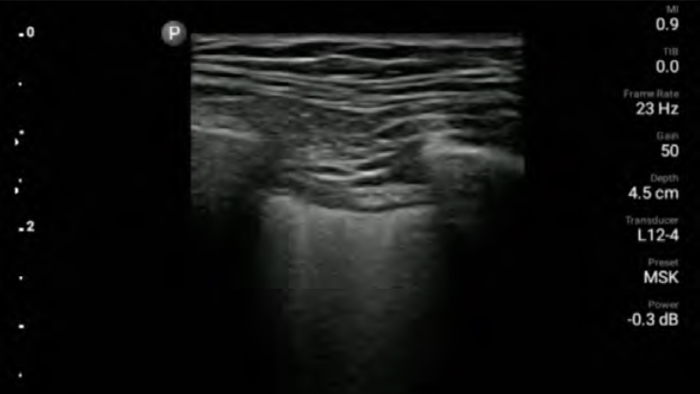
Портативная ультразвуковая система Lumify для анестезиологии поможет четко визуализировать нервы, сосуды, фасции и границы при размещении иглы.

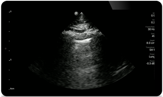
Используйте Lumify для оценки дыхательных путей и легких
Решения Lumify POCUS могут помочь определить положение эндотрахеальной трубки в трахее, помочь в процедурах крикотиротомии, диагностировать плевральный выпот и интерстициальные альвеолярные заболевания.

Ультразвук у постели больного
Использование системы Lumify у постели больного может быть ценным инструментом для определения содержимого желудка и снижения риска легочной аспирации. Это может снизить риск осложнений при анестезии.


















• Расширенный диапазон рабочих частот — от 4 до 1 МГц. • 2D, цветной доплеровский режим, M-режим, продвинутая визуализация XRES и многомерная гармоническая визуализация. • Визуализация с высоким разрешением для брюшной полости и сердца: предустановленные оптимальные режимы визуализации для сердца, легких, брюшной полости, диагностики в акушерстве/гинекологии и режим FAST.


Lumify может помочь вам принимать решения в режиме реального времени с большей уверенностью, от первичной диагностики до выздоровления. Раскройте тонкие детали изображения, изучите мельчайшие структуры ткани под несколькими углами и многое другое.

Пример из клинической практики
Пациент с одышкой

Обучение
УЗИ сердца в доврачебном пункте оказания помощи

Краткая лекция
Основы УЗИ легких
You are about to visit a Philips global content page
Continue