Чтобы продемонстрировать преимущества системы IQon Spectral CT, далее описаны гипотетические случаи двух пациентов с идентичными медицинскими данными, жалующихся на боли в области живота. Обоим пациентам в целях диагностики было назначено КТ-сканирование. Одному пациенту была проведено стандартное КТ-исследование, другому пациенту — исследование на системе IQon Spectral CT. Процесс сканирования идентичен для обоих пациентов. Для медицинского персонала выполнение процедуры также практически не имеет отличий.
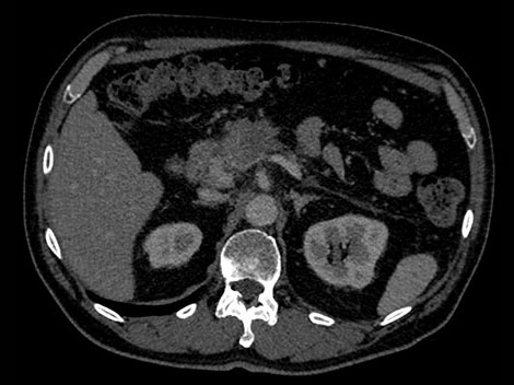
Возраст: 51 Рост: 1,82 м Вес: 79 кг КТ-ангиография брюшной полости при 70-секундной задержке введения контрастного вещества
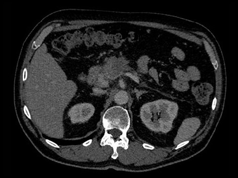
Возраст: 50 Рост: 1,80 см Вес: 75 кг КТ-ангиография брюшной полости при 70-секундной задержке введения контрастного вещества


В рассматриваемом гипотетическом случае рентгенологам требуется больше информации о подозрительном образовании в поджелудочной железе. Для постановки точного диагноза необходимо определить его материальный состав.
Обычно, если полученные КТ-изображения не дают однозначной информации, пациенту может быть назначена повторная процедура.

В отличие от стандартных, изображения, полученные с помощью системы IQon Spectral CT, всегда несут спектральную информацию — для этого не требуется планирования специального режима исследования и дополнительных настроек. Таким образом, пользователь может выполнять анализ спектральных данных любого изображения в ретроспективном режиме с помощью различных инструментов просмотра. К примеру, всегда можно выбрать моноэнергетический уровень или вычленить данные о составе тканей. Попробуйте сами.
IQon Spectral CT добавляет спектральную информацию к стандартным КТ-данным благодаря новому двухслойному спектральному детектору. С помощью сцинтиллятора на основе иттрия детектор NanoPanel Prism одновременно определяет низко- и высокоэнергетические фотоны, что позволяет не только выполнять просмотр анатомических структур, но также применять цветовое обозначение требуемых структур для определения их вещественного состава.
В IQon Spectral CT объединены физика, радиология и медицина. Узнайте больше о развитии данной системы совместно с экспертами в области радиологии в медицинском центре Hadassah Hebrew University Medical Center.
Система IQon Spectral CT создает высокоэнергетический световой поток и снижает уровень шума при низком значении энергии. Узнайте, как достижения в области науки о материалах, а также нанотехнологий позволили усовершенствовать возможности спектрального детектора.
Свяжитесь с нами для получения дополнительных сведений о КТ-сканере IQon Spectral CT.

You are about to visit a Philips global content page
Continue