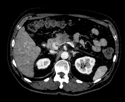
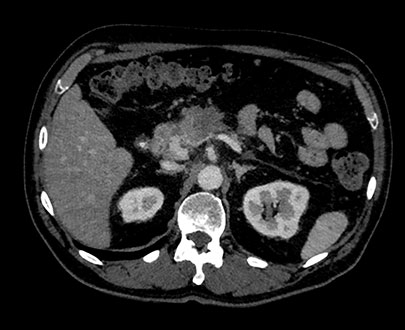
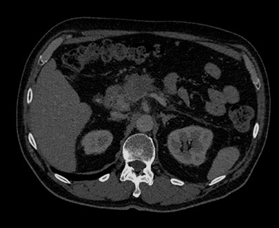
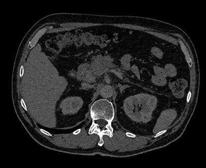
Выбирайте значение уровня энергии от 45 до 125 кВп, чтобы просмотреть структуры в соответствии с их характеристиками спектрального затухания.












В режиме MonoE показаны синтезированные моноэнергетические изображения с предустановленными значениями кВп в диапазоне от 40 до 200 кВп. При изменении значения кВп также происходят изменения на изображении, даже при сохранении настроек окна/уровня. Например, при более низком значении кВп йод может проявляться ярче, а при более высоком значении количество артефактов от металлических объектов может быть снижено.
You are about to visit a Philips global content page
Continue