Решение SmartPath для цифровой рентгенографии предлагает несколько опций, которые позволяют применять новейшие технологии на используемых рентгенографических системах. Вы можете воспользоваться самыми современными обновлениями клинических приложений, а также обновлениями, направленными на кибер-защиту данных.
Диагностические рентгеновские системы Philips разработаны таким образом, чтобы обеспечить превосходную защиту данных ваших пациентов. Обновления ОС предоставляют самые последние обновления, направленные на защиту от потенциальных угроз, как данных пациентов, так и внутренних процессов организации, позволяя вашим систем быть защищенными. Ваши рентгеновские системы, помимо преимуществ обновлений Windows 10, получат обновление аппаратной части, в виде новых компьютеров и нескольких новых особенностей платформы Eleva, направленных на то, чтобы рабочий процесс стал доставлять вам больше комфорта. С добавлением новой ОС также будет установлено новое поколение постобработки изображений UNIQUE 2, которое даст еще большее качество получаемых изображений.

Важность обеспечения защиты сети и данных постоянно растет




Мы усиленно работаем над укреплением нашего портфолио, чтобы наши текущие и новые клиенты могли пользоваться всеми преимуществами новейших клинических приложений. Вашему вниманию мы хотели бы представить несколько клинических обновлений для систем DigitalDiagnost C90, ComiDiagnost R90 и MobileDiagnost WDR. Эти обновления разработаны с учетом особых областей интереса, для соответствия самым передовым клиническим задачам.

Обновления для педиатрии Оцените улучшенный функционал с обновлением для педиатрических исследований для новой или уже установленной системы

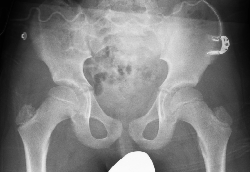
Обновления для ортопедии Обновления для ортопедии разработаны таким образом, чтобы добавить максимум функциональности вашей системе CombiDiagnost R90

Обновления для флюороскопии Данные обновления переводят визуализацию грудной клетки на другой уровень и предоставляют поддержку в процессе исследования

Обновления DSA С Digital Substraction Angiagraphy, качетство визуализации сосудов сопоставимо с получаемыми изображениями при графии
Цифровой мир вокруг нас продолжает эволюционировать. Это также можно отметить и в сфере Здравоохранения, где переход на цифровые решения существенно улучшает рабочие процессы и способствует предоставлению лучшего обслуживания для пациентов. При этом личные, конфиденциальные данные и данные, требующие особого внимания, путешествуют между системами туда-обратно по сети лечебного учреждения. Сохранение этой информации и защита от вредоносных атак - это настолько же важно, как и сложно. Используйте mShield для:


You are about to visit a Philips global content page
Continue