В Philips мы стремимся удовлетворить потребности клиницистов и пациентов с помощью высокотехнологичных инноваций. Они позволяют получать не только детальную визуализацию, но и помогают оптимизировать рабочий процесс специалиста, чтобы, в конечном итоге, предоставить врачу больше времени на работу с пациентом.
Получайте больший объем информации и новые возможности ранней диагностики для снижения рисков осложнений!
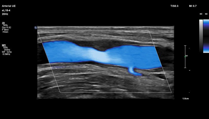
Инновационный датчик eL18-4 работает в частотном диапазоне 2-22МГц, что открывает широкий спектр возможностей его применения в ультразвуковой диагностике. Универсальность датчика позволяет использовать его для комплекса ультразвуковых исследований в таких областях, как: молочная железа (с функцией эластографии сдвиговой волной), поверхностные органы (с функцией эластографии сдвиговой волной), опорно-двигательный аппарат, исследования сосудов (с автоматическим измерением толщины сосудистой стенки), органы брюшной полости, исследования в педиатрии, пренатальная диагностика.
Начало новой жизни - это всегда особое время! Ультразвуковые решения Philips в области акушерства разработаны для того, чтобы позволить врачам сосредоточиться на здоровье каждой будущей мамы. Разработанные для обеспечения клиницистов дополнительной информацией ультразвуковые решения Philips позволяют получать не только детальную визуализацию анатомии плода уже в первом триместре, но и помогают оптимизировать рабочий процесс врача. Применение eL18-4 в I триместре беременности Сегодня ультразвуковая диагностика используется для выявления генетических аномалий, внутриутробных пороков, оценки жизнеспособности плода и определения срока беременности, как наиболее эффективный метод. Ультразвуковое исследование плода в первом триместре (до 13 недель 6 дней беременности включительно) является наиболее точным методом. В течение многих десятилетий трансвагинальный метод ультразвукового исследования был «золотым стандартом» диагностики в акушерстве. Сегодня линейный матричный датчик может стать альтернативой общепринятому трансвагинальному методу оценки состояния плода и репродуктивных органов женщины. Детальная анатомия плода и ранняя диагностика пороков в I триместре Ультразвуковое исследование является основным методом визуализации для оценки врожденных аномалий плода. Линейный матричный датчик eL18-4 позволяет получить детальную информацию об анатомии плода и выявить пороки на ранней стадии развития. Сверхширокополосная PureWave матрица датчика генерирует частоты в диапазоне 2-22 МГц, что формирует одинаково высокоинформативные, четкие изображения по всей глубине сканирования до 14 см.
Для скрининга в первом триместре линейный датчик eL18-4 является оптимальным аналогом вагинального датчика, в сравнении с которым линейный eL18-4 обладает следующими преимуществами:
Новый линейный матричный датчик eL18-4
+
Протокол сканирования плода в первом триместре
=
Детальная анатомия плода и ранняя диагностика пороков
Высокочастотный датчик Philips eL18-4 содержит решетку из 1920 активных монокристаллических пьезоэлементов, выполненных по усовершенствованной технологии PureWave. Это обеспечивает высокодетальную 2D визуализацию, которая в совокупности с глубиной сканирования необходима для уверенной диагностики в акушерстве.
До введения высокочастотных линейных датчиков точная ультразвуковая диагностика мочевой системы плода была доступна в основном после 16-17 недель беременности. Новая технология еL18-4 позволяет проводить раннюю морфологическую оценку плода уже в первом триместре. Клинический случай с применением eL18-4 демонстрирует, что кортико-медуллярная дифференцировка почек плода возможна на 14 неделе беременности”.
Гийом Горинкур, MD, PhD
Детская больница La Timone, Марсель, Франция
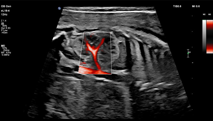
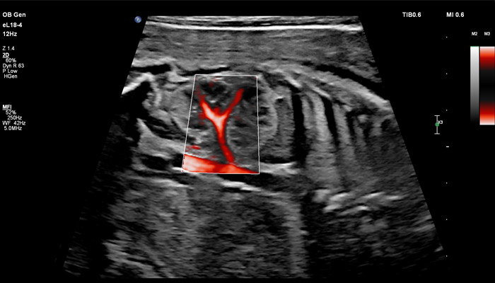
В случае аномалий позвоночника, оценка ануса важна, чтобы исключить аноректальные пороки развития, которые могут быть частью более широкой группы аномалий, известных как VACTERL (аномалии позвоночника, атрезия ануса, пороки сердца, трахеопищеводный свищ, аномалии почек, дефекты лучевой кости). Исследования в США показали, что очень высокое качество изображений еL18-4 повышают уверенность клиницистов в исключении аноректальной аномалии плода. Точная оценка состояния плаценты важна при определении сроков родоразрешения, а также при планировании хирургических вмешательств. Изображения показывают нормальный миометрий и четкую границу с плацентой. С визуализацией микрокровотока (MFI) хорошо представлены дугообразные артерии матери, спиральные артерии, а также ветвящиеся ворсинчатые артерии, что подтверждает нормально развитую сосудистую систему. Клинические исследования, проведенные экспертами детской больницы штата Аризона (США) во главе с Д-ром Льюсом Гонкалвсом с целью определения наличия нормальной сосудистой структуры плаценты при подозрении на ее патологию, показали, что инновационная технология сверхширокополосной PureWave матрицы датчика eL18-4 способна изменить привычный способ, которым врачи интерпретируют нормальный и аномальный сосудистый поток в плаценте.
Использование линейного матричного датчика eL18-4 при осмотре беременных в I триместре, особенно на ранних сроках, позволяет ограничиться трансабдоминальным сканированием вместо трансвагинального и при этом получить максимально полную диагностическую информацию. Отсутствие полостного исследования чрезвычайно важно для соблюдения принципа ALARA – использования минимальной необходимой мощности для безопасности пациента. Благодаря применению мультичастотного датчика с диапазоном от 2 до 22 МГц через переднюю брюшную стенку хорошо определяется эмбрион длиной 3 мм, что соответствует шестой неделе беременности. В конце I триместра с eL18-4 достаточно отчётливо визуализируется четырёхкамерный срез сердца, мочевой пузырь и сосуды пуповины, которые, как правило, определяются только при трансвагинальном сканировании.
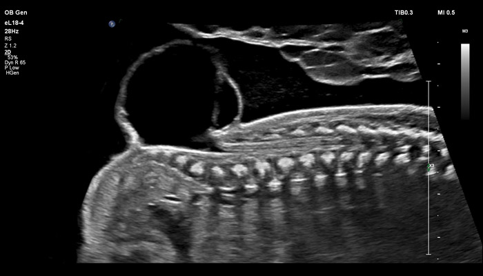
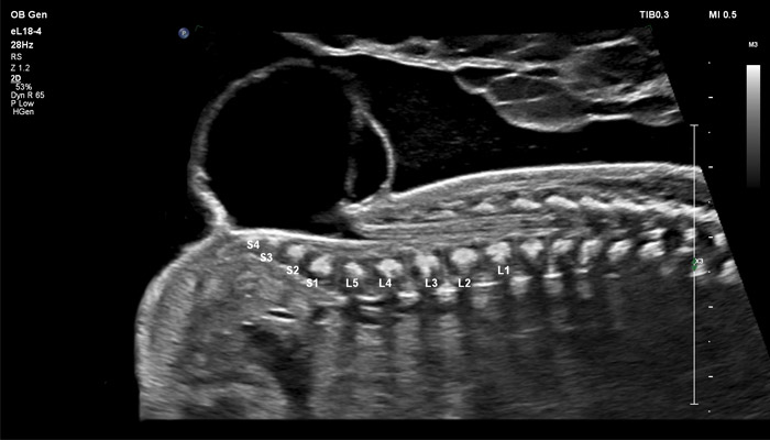
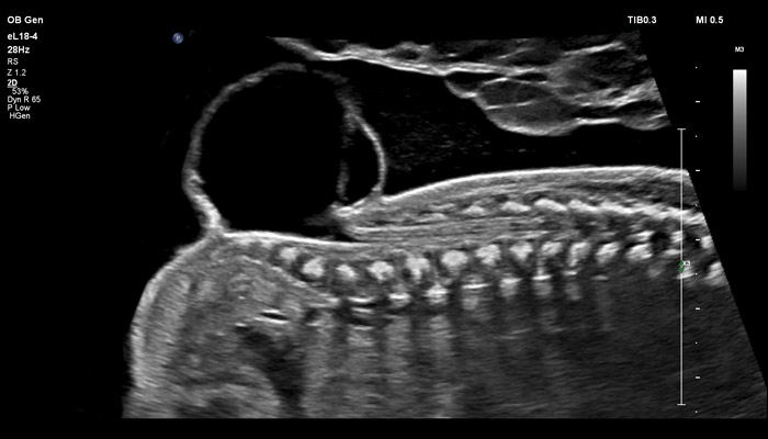
Во II триместре беременности высокая разрешающая способность eL18-4 позволяет детально изучить структуру органов и тканей и увидеть многие нюансы, которые при работе другими датчиками не обнаруживались или становились очевидны в более поздние сроки. Например, у 19-недельного плода визуализируется перегородка носа, мышцы языка, диафрагма между грудной и брюшной полостью, на 20-й неделе чётко определяются оболочки спинного мозга и уретра, а на 24-й – хорошо дифференцируются корень лёгкого, борозды и извилины мозжечка и многие другие структуры.
Бесспорное достоинство датчика – его универсальность. УЗ-аппараты, оснащённые eL18-4, помимо акушерства можно использовать для обследования щитовидной железы, молочных желёз, сосудов шеи, рук и ног, органов мужской репродуктивной системы, брюшной полости и малого таза детей и подростков.
Ограничением применения датчика eL18-4 является повышенный вес пациента вследствие ожирения или большой мышечной массы. Также технические трудности возникают при обследовании женщин после 30-й недели беременности, поскольку качество изображения на глубине более 10-12 см резко снижается. В этих случаях приходится переходить на сканирование конвексным датчиком."
Ирина Аркадиевна Озерская
д.м.н., профессор кафедры ультразвуковой диагностики и хирургии факультета непрерывного медицинского образования РУДН, врач-эксперт ультразвуковой диагностики в акушерстве и гинекологии медицинского центра «Асклепион», г. Москва
Сочетание усовершенствованной технологии PureWave, комплексного решения по эластографии, высокочувствительной визуализации кровотока (MicroFlow) и точной биопсии представляет собой эффективное решение для ультразвуковой оценки мелких образований.
Рак молочной железы является вторым по распространённости онкологическим заболеванием в мире и составляет около 25% случаев заболеваний среди женщин. Сегодня многие врачи полагаются на ультразвуковую диагностику в выявлении рака у пациенток с уплотнениями ткани молочных желез. При маммографии плотные ткани могут маскировать небольшие раковые поражения. Комплексное исследование молочных желез с применением ультразвукового метода может привести к выявлению еще трех-четырех случаев онкологических заболеваний на 1 тысячу женщин. В распоряжение клиницистов должны попадать решения, которые не только улучшают выявление новообразований и повышают точность диагностики, но также увеличивают пропускную способность кабинета и производительность при сохранении высокого уровня доверия. Линейный матричный датчик eL18-4 используется клиницистами Европы как современное решение для визуализации молочных желез, которое повышает надежность диагностики с помощью таких мощных инструментов, как превосходная визуализация в B-режиме, компрессионная эластография, эластография сдвиговой волной и высокочувствительная визуализация кровотока (MicroFlow Imaging). Кроме того, панорамный режим полезен для оценки распространенности заболевания, выявления большого количества фиброзных изменений и определения расстояния между двумя очагами. Всякий раз, при исследовании молочной железы, превосходное качество изображения и эластография необходимы, чтобы поставить точный диагноз с первого раза и помочь в лечении пациентов.
Накопленный за последние 15 лет клинический опыт показывает, что применение эластографии в дополнение к каждому ультразвуковому обследованию молочной железы приводит к сокращению количества проводимых биопсий, которые раньше проводились в более 80% случаев, но впоследствии оказывались ненужной процедурой".
Ричард Г. Барр, MD, PhD
Северо-Восточный Медицинский Университет Огайо, Огайо, США
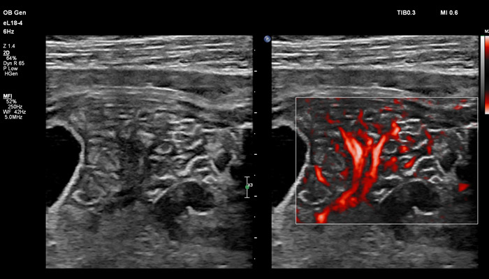
Линейный матричный датчик eL18-4 поддерживает режим высокочувствительной визуализации кровотока (Philips MicroFlow Imaging), новый запатентованный метод, который обеспечивает инновационный подход к оценке сосудистого русла. Визуализация MicroFlow преодолевает многие барьеры, связанные с традиционными методами обнаружения кровотока в малых сосудах, обеспечивая высокое разрешение при минимальных артефактах. Метод MicroFlow Imaging поддерживает высокую частоту кадров и качество изображения, применяет инновационные методы сокращения артефактов. Варианты вычитания 2D-изображений, смешивания и параллельного отображения обеспечивают превосходную визуализацию в различных клинических случаях.
EPIQ 7 (во всем функционале) Affiniti 70 (без эластографии сдвиговой волной)
Интервью с профессором Филиппом Дженти (Dr. Philippe Jeanty, MD) · Стандартный протокол ультразвуковой оценки сердца плода · Пошаговая демонстрация эхокардиографии плода
Интервью с фетальным и детским кардиологом, профессором, Президентом рабочей группы по фетальной кардиологии Европейской ассоциации детских кардиологов (AEPC) Джоанной Дангель (Польша).
Заполните форму ниже и мы свяжемся с вами в кратчайшие сроки.
Телефон Philips "Здравоохранение": 8-800-200-0881 (звонок из России бесплатный с городских и мобильных телефонов)
1 РУ № ФСЗ 2010/08784 «Датчики для систем ультразвуковых диагностических Philips, с принадлежностями» 2,3 РУ № РЗН 2014/2234 «Система ультразвуковая диагностическая EPIQ с принадлежностями» 4 РУ № РЗН 2016/4203 «Система ультразвуковая Affiniti с принадлежностями»
You are about to visit a Philips global content page
Continue