
Для исследования используется прибор EPIQ 7, датчик С5-1, приложение ElastQ. Датчик расположен в интеркостальном промежутке, капсула видна как яркая белая линия, перпендикулярно расположенная ультразвуковому лучу. Зона интереса расположена в середине изображения в ткани правой доли печени. В зоне интереса нет крупных сосудов и артефактов. Зона интереса преимущественно окрашена в цвета характерные для эластичной (не жесткой) ткани при выбранной цветовой схеме. Фактор качества исследования (интерквартильный размах/медиана) не превышает 30% для каждого из четырех измерений.
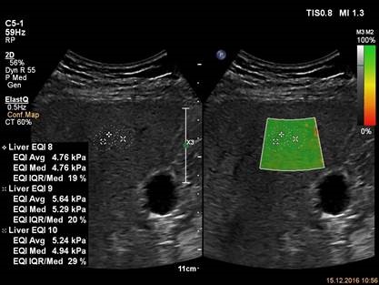
Для исследования используется прибор EPIQ 7, датчик С5-1, приложение ElastQ и карта надежности. Карта надежности исследования позволяет достоверно выбрать участок печени в котором боковые волны имели максимальную интенсивность. Измерение в данном участке печени будет иметь минимальную вариабельность.


Для исследования используется прибор EPIQ 7, датчик С5-1, приложение ElastQ Три измерения показывают повышенную жесткость печени.
Для исследования используется прибор EPIQ 7, датчик С5-1, приложение ElastQ Проведенные измерения показывают высокую степень жесткости, характерную для цирроза ее ткани.

Формируйте будущее здравоохранения вместе с Philips. Чтобы узнать больше о нашей продукции и услугах, пожалуйста, разместите запрос, воспользовавшись электронной формой ниже.
You are about to visit a Philips global content page
Continue