Заведующий отделением УЗД МЦ «Асклепий», Глушенко Д. Е.
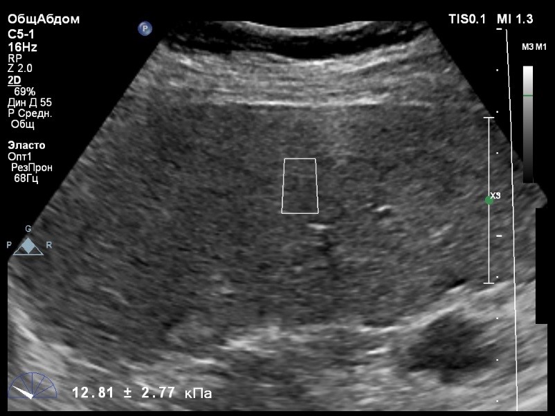
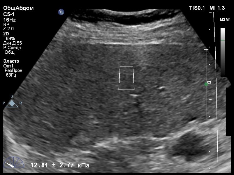
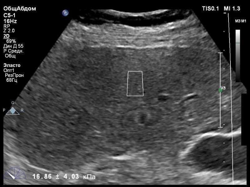
Предыдущее исследование было выполнено с помощью транзиентной эластографии, получена медиана жесткости 16,9 кРа (13,8-22,8). На момент настоящего исследования, пациент не принимал пищу на протяжении 4 часов, АСТ, АЛТ не превышают патологических значений.
Пациент обратился к доктору с направлением на исследование степени жесткости печени.

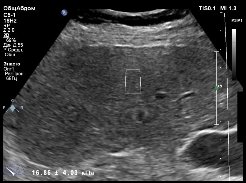
В виду технических сложностей выполнения исследования (избыточная масса тела), для оценки жесткости была выбрана технология компании Philips ElastPQ (точечная эластография) и прибор компании Philips Epiq 7. Исследование было проведено в соответствии с клиническими рекомендациями для ультразвуковых приборов компании Philips. В результате исследования были получены следующие результаты:
| 1 [16.86] kPa | 2 [15.14] kPa | 3 [12.83] kPa |
| 4 [12.81] kPa | 5 [13.07] kPa | 6 [15.01] kPa |
| 7 [16.95] kPa | 8 [14.06] kPa | |
Стандартное Отклонение [1.62] kPa Медиана Жесткости [14.54] kPa Фактор Качества IQR/Med 12%
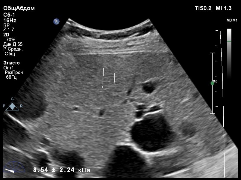
Зона интереса расположена на более чем на один сантиметр глубже капсулы, параллельно ходу луча, в середине изображения, в участке печени лишенном артефактов
Капсула видна как яркая белая линия перпендикулярная ходу ультразвукового луча.
Стандартное отклонение (3,94 kPA) не превышает 30 процентов от полученного значения (15,01 kPA).
Для интерпретации полученных клинических данных были использованы Рекомендации по проведению эластографии сдвиговой волной для оценки жесткости печени при использовании ультразвуковых аппаратов компании Филипс с примером протокола. Стоит отметить, что для проведения исследования у технически сложного пациента был выбран аппарат экспертного класса. Подготовка пациента соответствовала проводимому исследованию. Представленные слайды проведенного исследования свидетельствуют о правильном техническом исполнении проб, что позволяет заключиться о достоверности полученных измерений. Таким образом, учитывая полученную медиану жесткости на уровне 14,54 кРа (12.83-16.95 kPa) и уровень стандартных отклонений не превышающих 30%, полагаю, что уровень степени фиброза соответствует стадии F4. Заведующий отделением УЗД МЦ «Асклепий», Глушенко Д. Е.
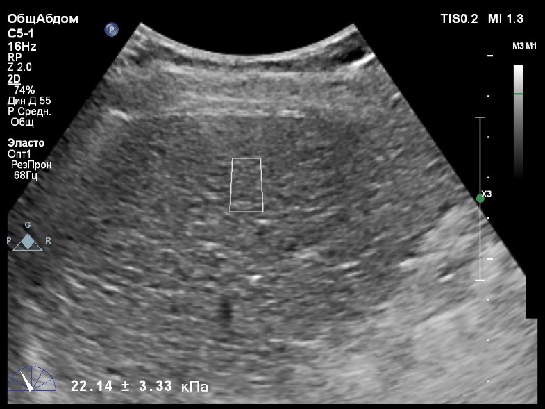
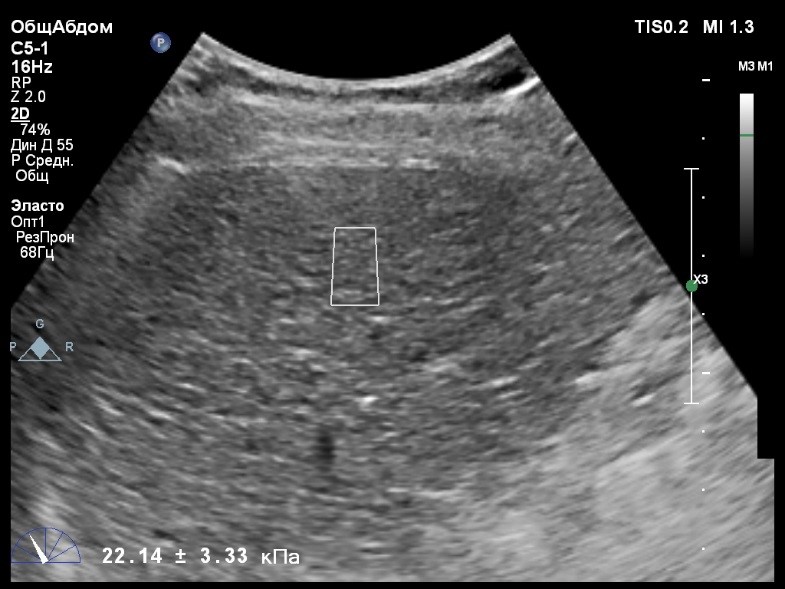
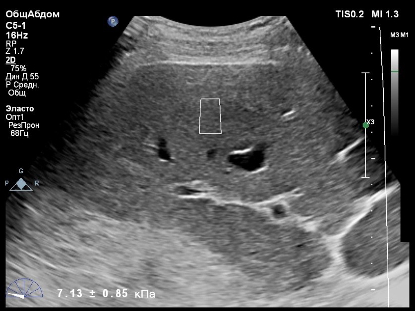
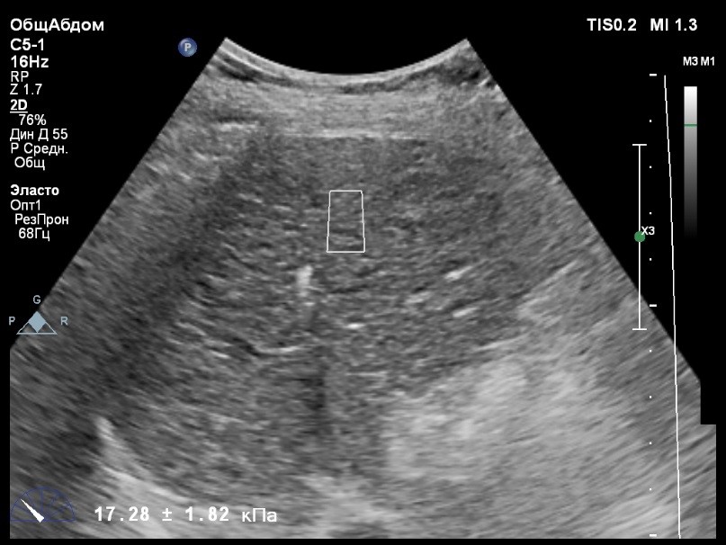
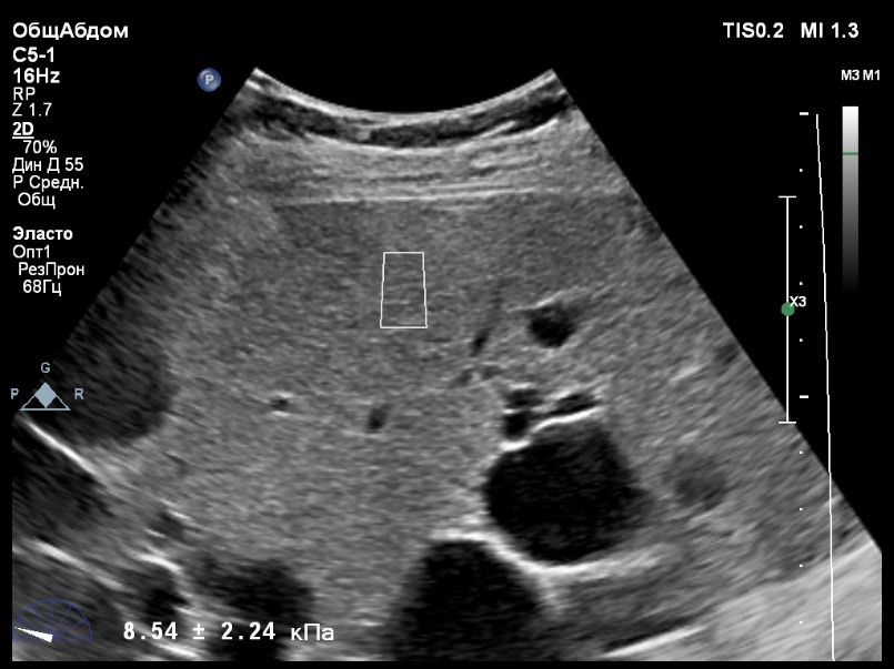
Пациент обратился к доктору с направлением на исследование степени жесткости печени в ноябре 2017 года. Из истории болезни, пациент страдает Гепатитом С с 2002 года. Закончила противовирусное лечение в мае 2017 года. В сентябре 2016 года, с помощью транзиентной эластографии была установлена медиана жесткости печени 45 kPA. На момент настоящего исследования, пациент не принимал пищу на протяжении 4 часов, АСТ, АЛТ не превышают патологических значений. В виду технических сложностей выполнения исследования (узкие межреберные промежутки), для оценки жесткости была выбрана технология компании Philips ElastPQ (точечная эластография) и прибор компании Philips Epiq 7. Исследование было проведено в соответствии с клиническими рекомендациями для ультразвуковых приборов компании Philips. В результате исследования были получены следующие результаты:
| 1 [17.28] kPa | 2 [13.59] kPa | 3 [14.47] kPa |
| 4 [16.71] kPa | 5 [18.48] kPa | 6 [21.20] kPa |
| 7 [21.36] kPa | 8 [15.64] kPa | 9 [19.95] kPa |
| 10 [19.89] kPa | 11 [22.14] kPa | 12 [16.48] kPa |
| 13 [16.41] kPa | 14 [22.02] kPa | |
Стандартное Отклонение [2.75] kPa Медиана Жесткости [17.88] kPa Фактор Качества IQR/Med 9%
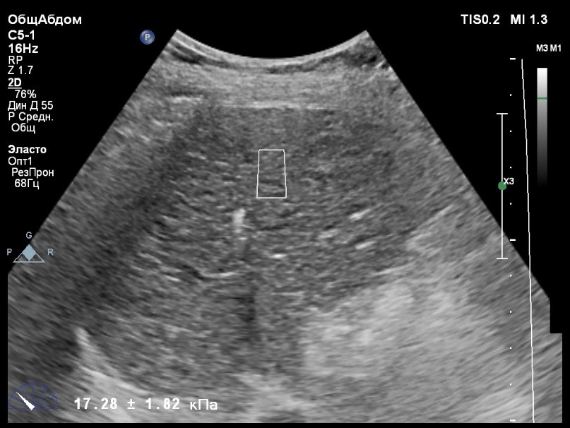
Зона интереса расположена на более чем на один сантиметр глубже капсулы, параллельно ходу луча, в середине изображения, в участке печени лишенном артефактов.
Капсула видна как белая линия перпендикулярная ходу ультразвукового луча, исследования производятся приблизительно в одном и том же сегменте печени.
Для интерпретации полученных клинических данных были использованы Рекомендации по проведению эластографии сдвиговой волной для оценки жесткости печени при использовании ультразвуковых аппаратов компании Филипс с примером протокола. Следует отметить достаточно высокую жесткость печени у пациента по данным предыдущих обследований и низкую активность основного заболевания по данным биохимических проб, что является показанием для динамического наблюдения и оценки жесткости печени. Отмечу, что для проведения исследования у данного технически сложного пациента был совершенно обоснованно выбран аппарат экспертного класса. Подготовка пациента соответствовала проводимому исследованию. Представленные слайды проведенного исследования свидетельствуют о правильном техническом исполнении проб, что позволяет заключиться о достоверности полученных измерений. Таким образом, учитывая полученную медиану жесткости на уровне 17,88 кРа (13.59 -22.02 kPa) и уровень стандартных отклонений не превышающих 30%, полагаю, что уровень степени фиброза соответствует стадии F4. Заведующий отделением УЗД МЦ «Асклепий», Глушенко Д. Е.
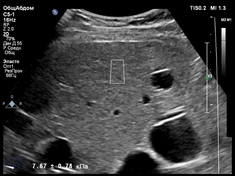
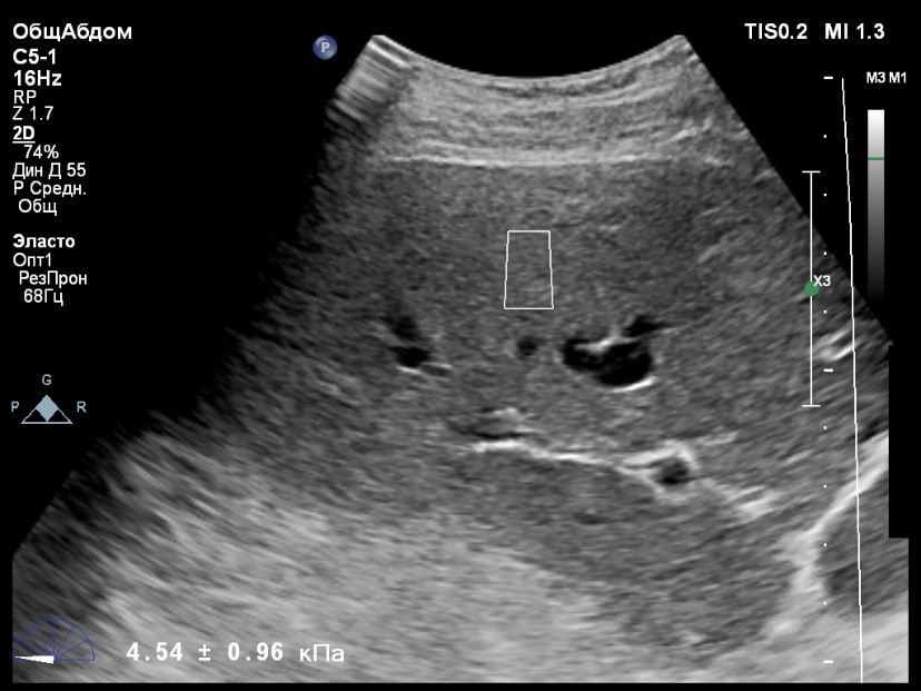
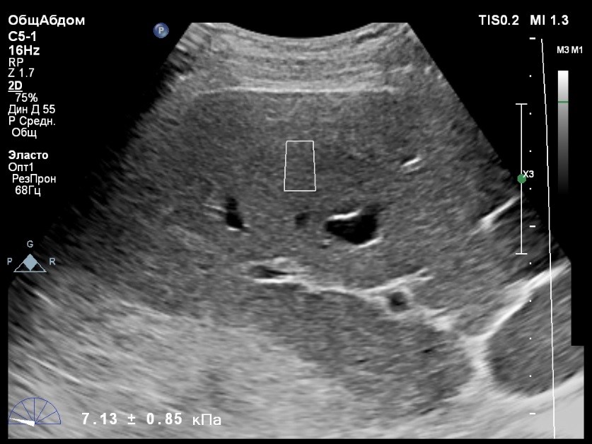
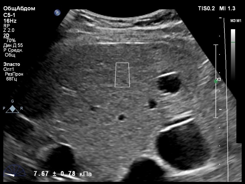
Пациент обратился к доктору с направлением на исследование степени жесткости печени в июне 2017 года. Из истории болезни, пациент страдает Гепатитом С с 2015 года. Лечение не получал. В апреле 2016 года, с помощью транзиентной эластографии была установлена медиана жесткости печени 5,8 kPA (4,4-7,7). На момент настоящего исследования, пациент не принимал пищу на протяжении 4 часов, АСТ, АЛТ не превышают патологических значений. Для оценки жесткости была выбрана технология компании Philips ElastPQ (точечная эластография) и прибор компании Philips Epiq 7 Исследование было проведено в соответствии с клиническими рекомендациями для ультразвуковых приборов компании Philips. В результате исследования были получены следующие результаты:
| 1 [4.94] kPa | 2 [7.09] kPa | 3 [7.13] kPa |
| 4 [4.74] kPa | 5 [5.17] kPa | 6 [7.78] kPa |
| 7 [6.19] kPa | 8 [7.63] kPa | 9 [4.64] kPa |
| 10 [6.18] kPa | 11 [4.49] kPa | 12 [4.54] kPa |
| 13 [6.08] kPa | | |
Стандартное Отклонение [1.17] kPa Медиана Жесткости [6.08] kPa Фактор Качества IQR/Med 9%
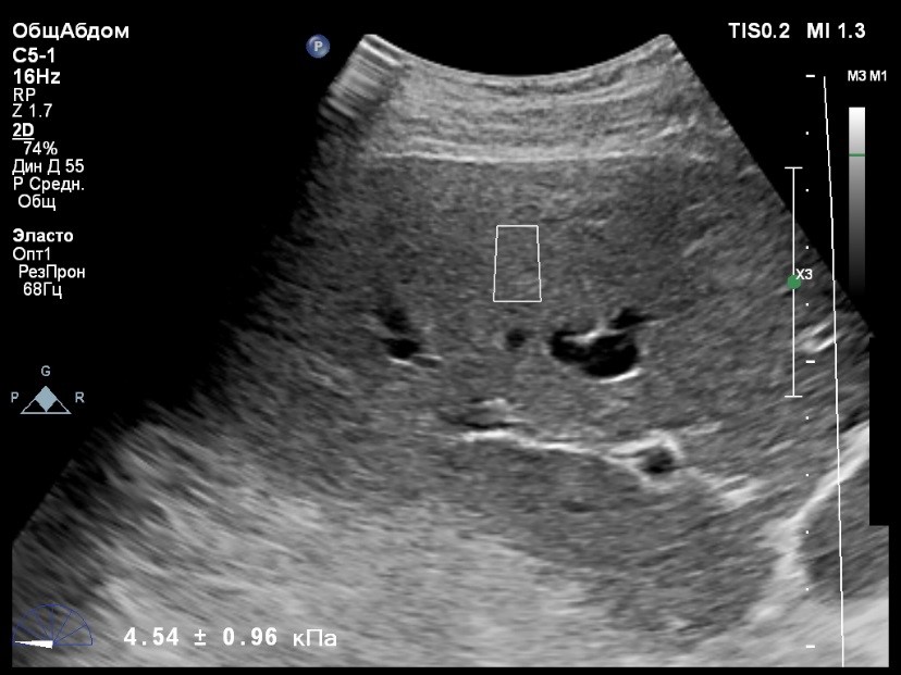
Зона интереса расположена на более чем на один сантиметр глубже капсулы, параллельно ходу луча, в середине изображения, в участке печени лишенном артефактов.
Капсула видна как белая линия перпендикулярная ходу ультразвукового луча, исследования производятся приблизительно в одном и том же сегменте печени.
Стандартное отклонение (0,96 kPA) не превышает 30 процентов от полученного значения (4,54 kPA).
Зона интереса расположена вне крупных сосудов.
Для интерпретации полученных клинических данных были использованы Рекомендации по проведению эластографии сдвиговой волной для оценки жесткости печени при использовании ультразвуковых аппаратов компании Филипс с примером протокола. Анамнез основного заболевания пациента достаточно короткий и показатели жесткости печени, полученные в 2016 свидетельствуют об отсутствии значимых фиброзных изменений. Однако, в течении всего времени пациент не получал специфического лечения. Данный факт является показанием для динамического наблюдения и оценки жесткости печени. Подготовка пациента соответствовала проводимому исследованию. Представленные слайды проведенного исследования свидетельствуют о правильном техническом исполнении проб, что позволяет заключиться о достоверности полученных измерений. Таким образом, учитывая полученную медиану жесткости на уровне 6.08 кРа (4.49 – 7.78 kPa) и уровень стандартных отклонений не превышающих 30%, полагаю, что уровень степени фиброза соответствует стадии F 0-1. Заведующий отделением УЗД МЦ «Асклепий», Глушенко Д. Е.
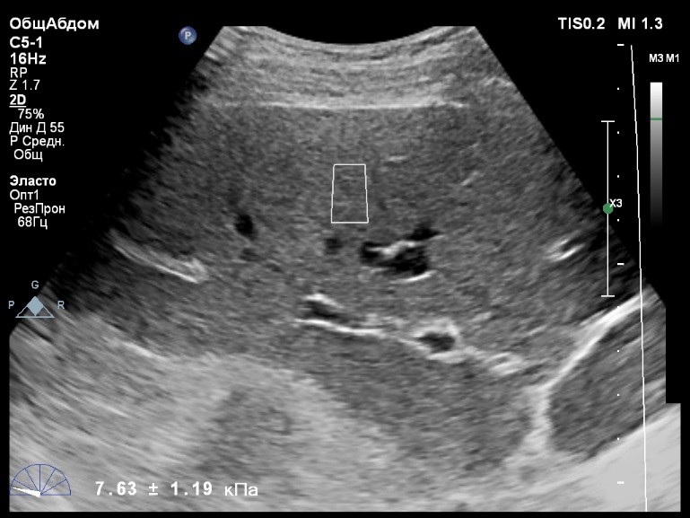
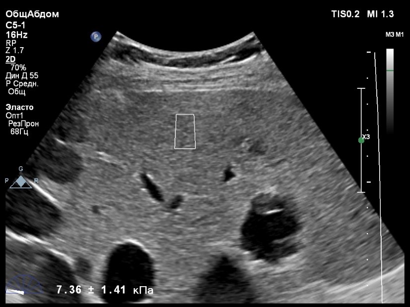
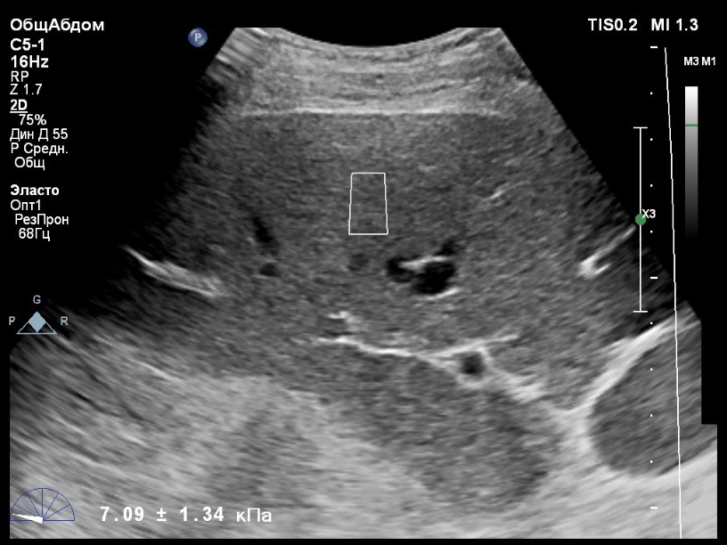
Пациент обратился к доктору с направлением на исследование степени жесткости печени в июне 2017 года. Из истории болезни, пациент страдает Гепатитом С с 2014 года. Лечение не получал. Транзиентная эластография показала не коррективные значения степени жесткости печени по причине сопутствующего поликистоза печени. На момент настоящего исследования, пациент не принимал пищу на протяжении 4 часов, АСТ, АЛТ не превышают патологических значений. Для оценки жесткости была выбрана технология компании Philips ElastPQ (точечная эластография) и прибор компании Philips Epiq 7 Исследование было проведено в соответствии с клиническими рекомендациями для ультразвуковых приборов компании Philips. В результате исследования были получены следующие результаты:
| 1 [7.95] kPa | 2 [8.73] kPa | 3 [8.11] kPa |
| 4 [9.32] kPa | 5 [8.05] kPa | 6 [9.52] kPa |
| 7 [8.66] kPa | 8 [7.36] kPa | 9 [8.54] kPa |
| 10 [8.30] kPa | 11 [6.56] kPa | 12 [7.14] kPa |
| 13 [7.47] kPa | 14 [6.56] kPa | 15 [6.56] kPa |
Стандартное Отклонение [0.85] kPa Медиана Жесткости [8.05] kPa Фактор Качества IQR/Med 10%
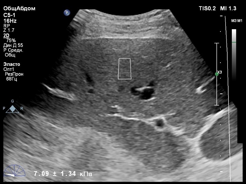
Зона интереса расположена на более чем на один сантиметр глубже капсулы, параллельно ходу луча, в середине изображения, в участке печени лишенном кист.
Капсула видна как белая линия перпендикулярная ходу ультразвукового луча, исследования производятся приблизительно в одном и том же сегменте печени.
Стандартное отклонение (2,26 kPA) не превышает 30 процентов от полученного значения (8,54 kPA).
Для интерпретации полученных клинических данных были использованы Рекомендации по проведению эластографии сдвиговой волной для оценки жесткости печени при использовании ультразвуковых аппаратов компании Филипс с примером протокола. Техническая сложность проведения слепой эластометрии печени связана с сопутствующим поликистозом органа и диагностическим методом выбора в данной ситуации является Эластография с возможностью визуального контроля положения контрольного объема. Подготовка пациента соответствовала проводимому исследованию. Представленные слайды проведенного исследования свидетельствуют о правильном техническом исполнении проб, отсутствием в поле контрольного объема кистозных образований, что позволяет заключиться о достоверности полученных измерений. Таким образом, учитывая полученную медиану жесткости на уровне 8,05 кРа (6.56 – 9.52 kPa) и уровень стандартных отклонений не превышающих 30%, полагаю, что уровень степени фиброза соответствует стадии F2. Заведующий отделением УЗД МЦ «Асклепий», Глушенко Д. Е.
You are about to visit a Philips global content page
Continue