Как добиться эффективного и экономически выгодного выполнения МР-исследований? Применение технологии микроциркулярного охлаждения BlueSeal— это шаг вперед. Гелий является невозобновляемым ресурсом, который может привносить дополнительные сложности и непредсказуемость при проведении МР-исследований и при планировании бюджета учреждения. Именно поэтому мы создали современный магнит, который основан на разработках Philips последних 10 лет. Для его работы необходимо всего 7 литров жидкого гелия по сравнению с 1500 литрами в классических системах. Гелий помещается в магнит на производстве и герметизируется на весь срок службы, что позволяет избежать непредвиденных ситуаций, связанных с его утечкой. При этом система Ingenia Ambition 1.5T позволяет выполнять МР-сканирования на высоком уровне, отличается надежной работой и простотой размещения. Вы готовы к новой эре МРТ?
Магнит с технологией микроциркулярного охлаждения BlueSeal является герметичным, поэтому можно не опасаться утечки гелия1, как внезапной, так и медленно протекающей. Данное решение может значительно повлиять на непрерывность работы, надежность и стоимость выполняемых МР-исследований.

Скорость Выполнение МР-исследований до 50% быстрее2, что позволяет лучше планировать работу.

Комфорт пациента Снижение необходимости задержки дыхания на 40% без потери качества изображений3.

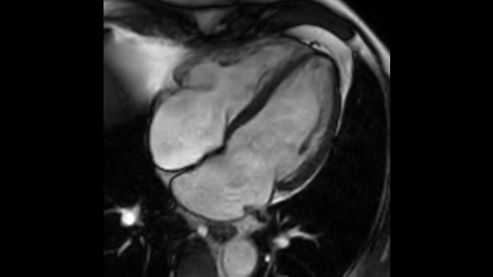
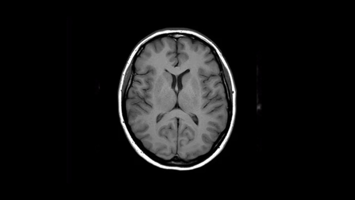
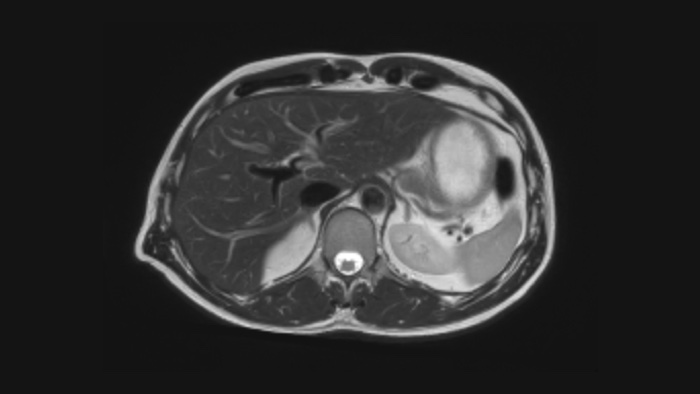
Точность диагностики Повышение пространственного разрешения на 60% (макс.), достигаемого за то же время сканирования4.
Магнит Ingenia Ambition с напряженностью поля 1,5 Тл представляет собой следующее поколение МР-систем. Он объединяет в себе самые главные черты, характеризующие успешную МР-систему.
Константино Пенья (Constantino Peña)
Директор по медицинским вопросам в сфере сосудистой визуализации в больнице Baptist Hospital при институте Miami Cardiac and Vascular Institute
С технологией BlueSeal нам не нужно дозаправлять МР-систему в ходе эксплуатации, даже при аварийном выбросе гелия. Это позволяет нам сокращать расходы
Доктор Мария дель Мар Травьесо (Marίa del Mar Travieso)
Глава отделения радиологии, больница Hospitales San Roque, Испания
Существует множество приложений, целью которых является усовершенствование рабочего процесса. К ним относятся, например, Compressed SENSE, VitalEye и VitalScreen. Нам кажется, что данная система объединяет в себе такие плюсы, как обеспечение безопасной работы и усовершенствование рабочего процесса.
Шибукава (Shibukawa)
Лаборант/технический специалист, университет Tokai University, Япония
Узнайте, каким образом система Ingenia Ambition 1.5T может вывести ваши Новая МР-услуги на качественно новый уровень
Покорите все вершины с системой Ingenia Ambition.

Скорость Выполнение МР-исследований до 50% быстрее2, что позволяет лучше планировать работу.

Опыт персонала Решение SmartWorkflow обеспечивает руководство и автоматизацию процессов там, где это необходимо.

Точность диагностики Расширьте свои возможности визуализации во всех клинических областях.
Загрузить брошюру о системе Ingenia Ambition 1.5T
Подробнее о продукте
1. Даже в редких случаях, когда магнит теряет герметичность, несущественное количество выделяющегося гелия не оказывает серьезного влияния на концентрацию кислорода в помещении. 2. По сравнению с изображениями, полученными с помощью сканеров Philips без применения технологии Compressed SENSE. 3. Для более низкой ЧСС (50 уд./мин), по сравнению с изображениями, полученными с помощью сканеров Philips без применения технологии Compressed SENSE. 4. На трехмерных изотропных изображениях костно-мышечной системы (3D MSK VIEW), по сравнению с изображениями, полученными с помощью сканеров Philips без применения технологии Compressed SENSE.
You are about to visit a Philips global content page
Continue