Каждый день специалисты кардиологических отделений сталкиваются с необходимостью повышения предсказуемости и эффективности, особенно при проведении интервенционных процедур на сердце. Последняя версия ультразвуковой системы для сердечно-сосудистых исследований EPIQ CVx от компании Philips обеспечивает поддержку на каждом этапе, от диагностики до лечения, помогая медицинским специалистам из вашего учреждения уверенно получать точные и воспроизводимые результаты диагностики.
Как упростить исследование заболевания митрального клапана?
С помощью опции Philips Cardiac TrueVue в системе EPIQ CVx.
Быстрая, легкая, интуитивно понятная оценка ушка левого предсердия.
Решение компании Philips для исследований ушка левого предсердия на системе EPIQ CVx.

Улучшенная визуализация структур и кровотока с опцией TrueVue Color

Визуализация морфологии сердца с помощью ультразвука с опцией TrueVue Glass

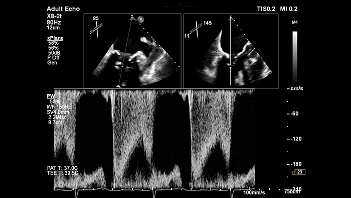
Уверенность в правильном расположении строба при оценке сердечного кровообращения с опцией xPlane Doppler

Быстрое измерение отверстия в ушке левого предсердия с использованием традиционных алгоритмов визуализации или алгоритмов визуализации TrueVue Glass с приложением 3D Auto LAA

Обширный опыт Philips в области распознавания и сегментирования изображений дополнили проверенные и надежные возможности количественного анализа TOMTEC. Результатом стало решение, по эффективности превосходящее сумму частей, из которых оно состоит, что обеспечивает еще большую точность диагностики и облегчает планирование лечения, помогает оптимизировать рабочие процессы и поднимает эффективность кардиологии на новый уровень.
Ультразвуковая система для сердечно-сосудистых исследований Philips EPIQ CVx сочетает в себе уникальные сильные стороны Philips и TOMTEC и обеспечивает доступ к комплексному набору функций, от получения изображений до расширенного количественного анализа для каждого эхокардиографического исследования.
В последней версии EPIQ CVx реализованы многочисленные значимые функции автоматизированного количественного анализа, включая опции 3D Auto MV, 3D Auto RV и набор инструментов AutoStrain, для выполнения надежных и воспроизводимых измерений, которые можно уверенно использовать при терапии пациента до, во время и после любого плана лечения.

Пришло время поднять качество эхокардиографии на новый уровень. Ультразвуковые системы CVx от компании Philips для эхокардиографии оснащены нашими самыми передовыми решениями, которые обеспечивают жизненно важные в современных условиях эффективность и качество.
Система EPIQ CVx/CVxi поставляется не во все страны. За подробными сведениями обращайтесь в региональное представительство компании Philips.
You are about to visit a Philips global content page
Continue