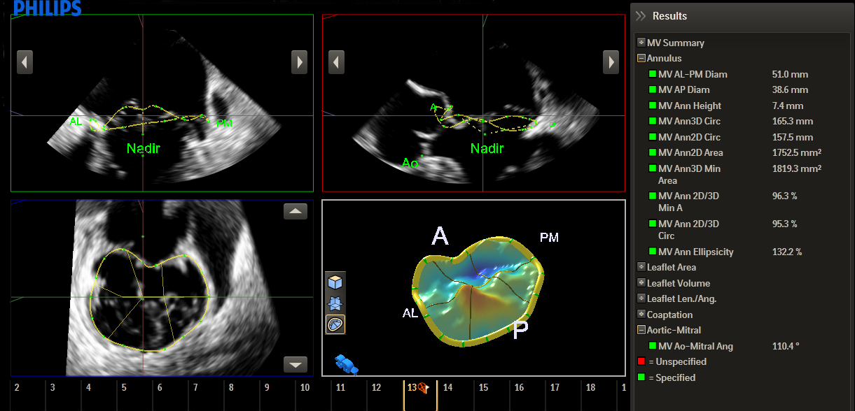
Технология Anatomical Intelligence для УЗИ использует специализированные средства моделирования органов, формирования срезов и количественного анализа, помогая упростить проведение исследований, повысить воспроизводимость их результатов и достичь того уровня клинической информативности, который соответствует современным экономическим и клиническим задачам. Технология Anatomical Intelligence применяется в таких визуализационных решениях компании Philips, как EchoNavigator, EP Navigator и HeartNavigator. Уже сегодня она дает врачам мощные, но простые в применении средства обработки и помогает им быстрее и увереннее определять анатомические структуры и нарушения, оценивать состояния заболеваний, назначать лечение и контролировать вмешательства.
HeartModelᴬ⋅ᴵ⋅— это новое приложение для УЗИ с технологией интеллектуального анализа анатомии (AIUS), предлагающее передовые средства количественной оценки трехмерных данных в реальном времени, автоматизированное создание двумерных проекций и уверенное получение воспроизводимых результатов в эхокардиографии. Приложение HeartModelᴬ⋅ᴵ⋅ автоматически определяет, сегментирует и количественно оценивает левое предсердие (ЛП) и левый желудочек (ЛЖ) в трехмерных объемных данных.
Информационная статья
Брошюра
Плакат
Согласно результатам сравнительного исследования двумерного количественного анализа и анализа в режиме Live 3D HeartModelᴬ⋅ᴵ⋅ приложение HeartModelᴬ⋅ᴵ⋅ позволило сэкономить 82% времени при работе в полностью автоматическом режиме и 71% времени при минимальном ручном редактировании.

Благодаря повышенной воспроизводимости и выполнению меньшего количества этапов за меньший промежуток времени, чем требуется для традиционных методов, больше пользователей смогут увереннее проводить диагностику.





Технология Anatomical Intelligence используется такик в решениях для визуализации Philips как: EPIQ, Affiniti и EchoNavigator. Уже сегодня эта технология предоставляет врачам продвинутые, но простые в использовании инструменты для обработки. Помогает им быстро и более уверенно определить анатомию и аномалии, стадию болезни, а также назначить лечение.
You are about to visit a Philips global content page
Continue