Ахадов Толиб Абдуллаевич - профессор, заслуженный врач России, заслуженный деятель науки, руководитель отделения лучевой диагностики.


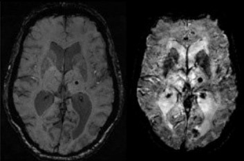
Рис 1. Изображение, полученное с использованием новой методики сканирования PADRE (справа), показывает более высокую чувствительность к микро кровоизлияниям, чем классическая SWI (слева).
Цель: Апробация и внедрение в клиническую практику новейших техник SWI, основанных на комбинированном использовании фазовых и магнитудных изображений высокого разрешения для управления контрастом МР изображения. Описание проекта: Методика SWI (Susceptibility-weighted image) представляет особый тип контраста в МРТ изображениях, основанный на различной магнитной восприимчивости разных тканей [1]. Данная методика высокочувствительна к присутствию в тканях атомов железа, которое входит в состав гемоглобина крови, что позволяет использовать методику для обнаружения патологий кровоснабжения [2], микрокровоизлияний при травме мозга [1,3], и оценки накопления железа в тканях мозга при нейродегенеративных заболеваниях [4-8]. При черепно-мозговой травме выявление диффузных аксональных повреждений и микрокровоизлияний являются критически важным для планирования и прогнозирования терапии. Новая импульсная последовательность PADRE [9], основанная на технике смещенного эхо PRESTO, позволяет комбинировать магнитудные и фазовые изображения, что улучшает разрешение изображения и отношение контраст/шум [10]. Задачей проекта является исследование диагностической чувствительности методики и ее сравнение с техниками T2*GRE и VienBold. Результаты: Методика обеспечивает более высокую чувствительность к микроскопическим повреждениям мозга за счет нового типа контраста, и более высокого разрешения по сравнению со стандартными методиками.
Результаты представлены на медицинских конгрессах: «Практика и новые технологии в МРТ» и «Конгрессе педиатров» 2011-2012 гг.
Цель: Разработка и внедрение в клиническую практику исследований сохранности проводящих путей (DTI) и основных функций мозга (fMRI) после травмы и после периода реабилитации. Описание проекта: Методика функционального МРТ [1, 2] основана на визуализации изменения кровоснабжения при функциональной активности мозга - при этом увеличивается потребление клетками кислорода, что приводит к росту концентрации окисленного гемоглобина и, как следствие, к изменениям интенсивности МРТ сигнала в зоне активации (BOLD-эффект) [3-5]. При тяжелой травме мозга фМРТ позволяет оценить сохранность основных функций мозга (движение, зрение, речь, когнитивные функции). Таким образом, необходима разработка и клиническая апробация комплекса структурных и функциональных исследований, в том числе для пациентов в бессознательном состоянии (с использованием пассивной активации). Результаты: Разработанный комплекс исследований позволяет оценить региональную активность мозга при выполнении заданий и в состоянии покоя, оценить вторичные посттравматические изменения в веществе мозга.
Результаты исследования пациента в коме: при прослушивании сказки наблюдаются паттерны активации слуховой зоны.
Результаты представлены на медицинских конгрессах: «Конгрессе педиатров» 2012-2014 гг, Конгрессе ESMRMB 2013, Международном Педиатрическом конгрессе, Порту, 2013, Международном Педиатрическом конгрессе, Будапешт, 2015 г.
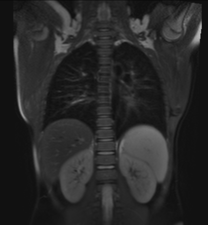
Рис 3. Т2-взвешенное изображение легких ребенка.
Цель: Разработка и внедрение в клиническую практику МРТ-исследований легких. Описание проекта: В настоящее время пациенты с сочетанной травмой обследуются методами многофазной компьютерной томографии с введением контрастного препарата. При этом пациент получает значительную дозу облучения: по медицинским показаниям, исследования могут регулярно повторяться. В то же время, МРТ позволяет без лучевой нагрузки получить изображения с различными типами контраста, что позволяет дифференцировать характер патологии. Традиционно считается, что МРТ не обладает достаточной чувствительностью при обследовании легких, однако современные методики МРТ позволяют получать диагностически информативные изображения – как при задержках дыхания(чтобы избежать артефактов движения), так и при свободном дыхании пациента. Задачей исследования является разработка и клиническая апробация МРТ протоколов сканирования легких. Результаты: Разработаны протоколы сканирования, ведется клиническая апробация.
Цель: Разработка методик количественной оценки метаболитов мозга. Описание проекта: Гамма-амино-маслянная кислота (GABA) является важным тормозным нейромедиатором нервной системы и участвует в энергетическом метаболизме мозга. В веществе мозга ГАМК присутствует в относительно низкой концентрации (менее 3ммоль), что делает невозможным ее наблюдение стандартными методиками МР – спектроскопии invivo. Однако, методика спектрального редактирования позволяет вычленить из общего спектра перекрывающиеся сигналы основных нейромедиаторов - ГАМК и комплекса глютамин-глютамат. Задачей исследования является оценка концентрации ГАМК в разных отделах мозга при постравматических и нейропсихических нарушениях, оценка метаболизма мозга методами динамической спектроскопии в режиме реального времени при выполнении заданий. Результаты: Разработаны методики исследования концентрации ГАМК при нейропсихологических нарушениях. Разработаны методики динамической спектроскопии для исследования метаболизма мозга при выполнении заданий и в состоянии покоя. Результаты представлены на Конгрессах ESMRMB 2014, ISMRM 2015.
You are about to visit a Philips global content page
Continue
Последние новости и события