
Подголовник для неврологических операций
Предназначен для снижения артефактов движения во время операции.
Возможность визуализировать чрезвычайно сложные патологии артериовенозных мальформаций (АВМ), фистулы и другие пороки развития имеет решающее значение при принятии решения о лечении или наблюдении за пациентом. На протяжении десятилетий неврологи полагались на передовые решения Philips в области нейровизуализации, чтобы обеспечить уверенное планирование и принятие решений по лечению и вмешательствам при артериовенозных мальформациях. Теперь, когда внимание смещается в сторону медицинского мониторинга неразорвавшихся артериовенозных мальформаций, наши уникальные возможности визуализации снова могут иметь значение.

SmartCT Angio за несколько секунд предоставляет объемные данные для проведения оценки питающих артерий, дренирующих вен, артериализированных вен, очагов и разорвавшейся или неразорвавшейся патологии с целью принятия решений. Визуализация объемных 3D-изображений выполняется с высоким пространственным разрешением и автоматической компенсацией движения пациента для улучшения видимости критических участков.

Возможность визуализировать сосудистые структуры размером менее миллиметра увеличивает шансы на успех и повышает уверенность в правильности подобранного лечения. VasoCT позволяет проводить 3D-визуализацию изображений с высоким разрешением, предоставляет важную информацию о сосудистых структурах головного мозга, что позволяет производить как можно более точную оценку расположения сосудов в мягких тканях.

SmartCT Roadmap обеспечивает наложение 3D-изображения в реальном времени, которое можно сегментировать, чтобы выделить целевой сосуд и пораженные участки, поддерживая быструю навигацию катетера. SmartCT Roadmap накладывает 3D-реконструкцию сосудистого дерева, сегментов сосудов или аннотации на текущее рентгеноскопическое изображение.

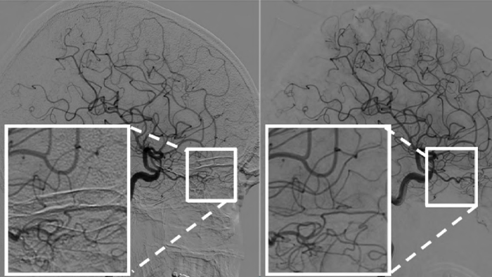
При мониторинге артериовенозных мальформаций в динамике субтракционные артефакты могут скрыть реальные клинические данные. Уникальная функция автоматического смещения пикселов ClarityIQ от компании Philips помогает удалять сведения, которые могут дезинформировать врачей, в режиме реального времени и без вмешательства пользователя.

Во время лечения субтракционные артефакты могут затруднять понимание того, в каком направлении движутся жидкие эмболические агенты. Использование функции автоматического смещения пикселов ClarityIQ позволяет визуализировать направление, в котором движется жидкий эмболический агент, и место его прибытия.

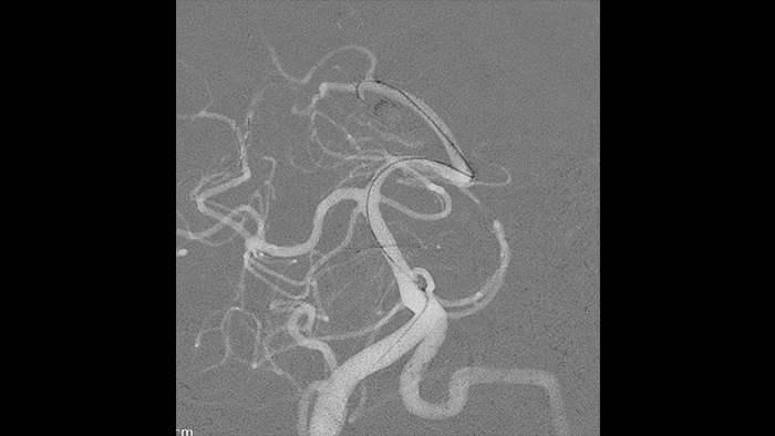
Режим Roadmap Pro glue отфильтровывает уже эмболизированные сосуды, благодаря чему вы можете сосредоточиться на вводимом агенте и том, как он распространяется.
| Проверка конечного результата и возможного наличия кровотечений |

SmartCT Soft Tissue — это метод получения изображений, который создает КТ-подобную визуализацию мягких тканей относительно других структур во время процедур. Вы можете использовать КТ-подобные изображения для оценки мягких тканей после артериовенозной мальформации, чтобы проверить окончательный результат и возможное наличие кровотечений, когда пациент все еще находится на столе.
Azurion предлагает ряд инновационных продуктов, разработанных для эффективной и легкой работы команды врачей, позволяя им сосредоточиться на пациенте, а также контролировать дозу облучения во время хирургического лечения АВМ.


Предназначен для снижения артефактов движения во время операции.
You are about to visit a Philips global content page
Continue
Помогает снизить дозу облучения, располагая систему или стол в режиме удержания последнего изображения, чтобы врач мог подготовиться к следующей серии, не прибегая к рентгеноскопии.
You are about to visit a Philips global content page
Continue Söderman M, Holmin S, Andersson T, Palmgren C, Babic D, Hoornaert B. Image noise reduction algorithm for digital subtraction angiography: clinical results. Radiology. 2013 Nov;269(2):553-60. Результаты использования методов снижения дозы облучения могут меняться в зависимости от клинической задачи, телосложения пациента, исследуемой анатомической структуры, а также клинических методик. Соответствующие определенной клинической задаче настройки определяются специалистом в области интервенционной радиологии с помощью лечащего врача. Результаты указаны из расчета произведения дозы на площадь в рамках DSA на кадр в рамках перспективного исследования отобранных случайным образом 20 пациентов в условиях одного центра. Серии изображений DSA были получены с помощью систем Allura Xper с технологией ClarityIQ и Allura Xper без технологии ClarityIQ и отображали фронтальный и латеральный каналы для одного и того же пациента при одних и тех же геометрических параметрах, поле обзора и протоколе инъекций. Качество изображений оценивалось субъективно (3 участвовавшими в исследовании радиологами по 5-балльной шкале, где 1 — очень плохо, 5 — отлично).
Технология ClarityIQ снижает дозу облучения на 75% при проведении DSA* для пациентов с неврологическими особенностями, создавая при этом изображения, качество которых не отличается от качества изображений системы без ClarityIQ, что является важным преимуществом при лечении большого числа пациентов. Технология автоматической компенсации артефактов движения ClarityIQ незаменима при установке устройств маленького размера в основании черепа, т. к. она подавляет артефакты черепа и движения.
You are about to visit a Philips global content page
Continue
Система предоставляет возможность напрямую управлять предоперационным диагностическим сканированием, данными о пациенте и инструментами планирования непосредственно у стола пациента. Таким образом достигается экономия времени и сокращение перемещений в стерильной зоне. Модуль сенсорного экрана Pro позволяет с легкостью, характерной для использования планшета, управлять изображениями и приложениями прямо у стола пациента.
You are about to visit a Philips global content page
Continue
Технология ClarityIQ снижает дозу облучения на 75% при проведении неврологических исследований в режиме DSA1, создавая при этом изображения, качество которых не отличается от качества изображений системы без ClarityIQ. Технология автоматической компенсации артефактов движения предоставляет ключевое преимущество при проведении процедур установки устройств маленького размера на сосуды головного мозга, т. к. стабилизирует перемещения черепной коробки и подавляет артефакты движения.

Данная функция позволяет уменьшить дозу облучения благодаря опциям панорамирования стола, регулировки его высоты или перевода рентгеновской системы в положение последнего полученного изображения, чтобы определить новое положение центра. Это поможет подготовиться к получению следующей серии, не прибегая к рентгеноскопии.

Система предоставляет возможность напрямую управлять предоперационным диагностическим сканированием, данными о пациенте и инструментами планирования непосредственно у стола пациента. Таким образом достигается экономия времени и сокращение перемещений в стерильной зоне.

С помощью протоколов ProcedureCard можно упорядочить и стандартизировать процесс настройки системы, а также сократить число ошибок на стадии подготовки. Выберите протокол ProcedureCard для АВМ, и система настроится подходящим для вас образом. Специальные больничные протоколы для аневризмы и/или контрольные списки можно внести в протоколы ProcedureCard и вывести на мониторы. По результатам одной из больниц, время на подготовку в рентгеноперационной сократилось на 12% благодаря использованию протоколов ProcedureCard2.

Предназначен для фиксирования беспокойных пациентов при седации с сохранением сознания, чтобы снизить степень выраженности артефактов движения во время операции.
Интегрированные решения Philips для визуализации, планирования и навигации при лечении пациентов с ишемическим инсультом помогают быстро и эффективно восстанавливать кровоток.
Узнать большеРешения для лечения аневризмы головного мозга. Повышение точности в ходе неврологических интервенций.
Узнать больше Литература * Как указано в инструкции по эксплуатации решения SmartCT.
You are about to visit a Philips global content page
Continue