
Одним из ведущих испанских специалистов в области малоинвазивной сосудистой хирургии является доктор Рамон Вила, директор отделения ангиологии и сосудистой хирургии больницы Bellvitge University Hospital, Барселона, Испания. В этой больнице выполняется 1000 операций на сосудах в год. Мобильная С-дуга Philips Zenition позволяет д-ру Вила получать изображения превосходного качества, благодаря чему он может выполнять большинство сосудистых процедур с низкой дозой облучения.
Благодаря Zenition качество изображения DSA значительно улучшилось. Изображение больше не зернистое, а четкое.
Рамон Вила Коль (Ramon Vila Coll)
Доктор медицинских наук, больница Bellvitge University Hospital, Барселона
Дизайн системы Zenition обеспечивает простоту ее использования в динамичных условиях операционных. Zenition основывается на рабочем процессе Philips Unify, таким образом предоставляя уже знакомые процессы во время любого вмешательства и хирургической процедуры.

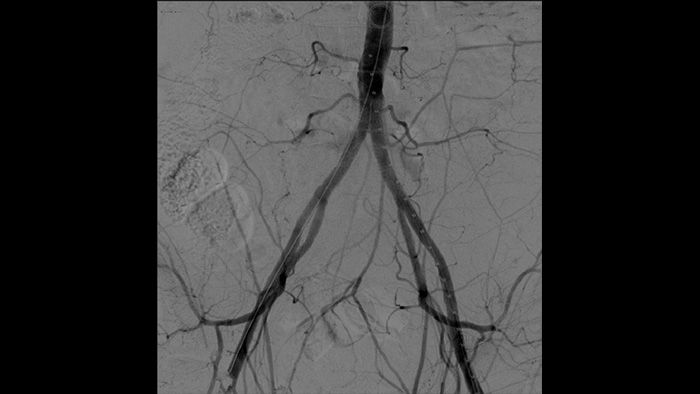
Цифровая субтракционная ангиография (DSA) используется в интервенционных сосудистых процедурах для четкой визуализации кровеносных сосудов путем удаления структур, которые могут снижать видимость сосудов. В рамках рентгеноскопии с картой сосудов ранее полученное субтракционное изображение с контрастированием накладывается на полученное рентгеноскопическое изображение в режиме реального времени, что позволяет отслеживать устройство без повторного введения контраста.
В дополнение к платформе Zenition 70 модуль сенсорного экрана (TSM) поддерживает управление у стола для хирургов во время процедур. С помощью сенсорного экрана вы можете легко выбирать, перетаскивать и масштабировать элементы. Это означает, что вы можете мгновенно просматривать изображения, что дает вам больший контроль над изображением во время процедур. *Модуль TSM доступен в качестве дополнительного элемента только на системе Zenition 70

Используйте инструмент для контуринга, чтобы с легкостью отметить бифуркацию или боковые ответвления, рисуя на мониторе передвижной станции просмотра пальцем или подключенной к устройству мышью.

Улучшите видимость сосудов с извилистой структурой с помощью вариантов контрастного вещества, содержащих йод и CO2. Легко контролируйте инъекции непосредственно у стола пациента. Для пациентов с почечной недостаточностью возможно применение контрастного вещества с CO2с целью легкой визуализации мелких сосудов без использования йодсодержащего контрастного вещества.

Philips DoseWise Zenition — это уникальное сочетание методов, программ и практик, встроенных в наши системы c мобильными C-дугами Zenition, которые из раза в раз обеспечивают необходимое качество визуализации и вместе с тем эффективно управляют дозовой нагрузкой.
Теперь проводник увидеть легче, чем при использовании нашей старой системы. Наконечник и угол видны даже у проводников диаметром 0,014 дюйма.
Это возможно благодаря тому, что система Zenition компенсирует данные при налчии металлических объектов или движения.
Рамон Вила Коль (Ramon Vila Coll)
Доктор медицинских наук, больница Bellvitge University Hospital, Барселона
Выполняйте ортопедические операции с легкостью и уверенностью с помощью систем визуализации Philips Zenition. Которые просты в использовании и соответствуют требованиям будущего.
Узнать большеЛегко и уверенно выполняйте лечение болевого синдрома с помощью систем визуализации с мобильной С-дугой Philips Zenition. Известных простотой эксплуатации и возможностями наращивания потенциала в будущем.
Узнать большеВыполняйте гастроэнтерологические и урологические процедуры легко и уверенно благодаря системам визуализации с мобильной C-дугой Philips Zenition.
Узнать больше Примечания
1. Результаты, полученные в ходе пользовательских испытаний, проведенных в ноябре 2013 года независимой компанией Use-Lab GmbH. В испытаниях участвовали 30 врачей из США (15 врачей были объединены в бригады с 15 медсестрами или рентгенологами), которые выполняли смоделированные процедуры в помещении, имитирующем реальную операционную. Никто из них раньше не работал с С-дугой компании Philips или друг с другом.
You are about to visit a Philips global content page
Continue