
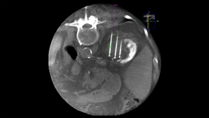
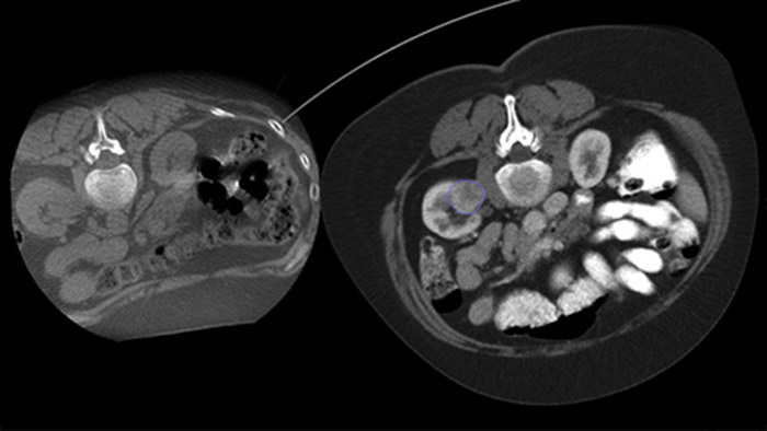
Неоднородность поражения и плохие пределы видимости снижают качество взятых проб и возможность выполнения биопсии под контролем УЗИ или стандартной КТ. Распространение программ скрининга легких поспособствовало увеличению частоты обнаружения ранних форм рака легких, проявляющихся в виде небольших узелков. У 14,5% обследованных были обнаружены узелки размером ≤ 10 мм1-2. Наша технология навигации иглы и КТ-подобные изображения повышают точность работы и позволяют выделить поражения меньшего размера (<=1 см) либо гетерогенные поражения, а также минимизируют количество процедур повторного позиционирования иглы и позволяют использовать меньшую дозу в сравнении с традиционной КТ1-2.
в сравнении со стандартной КТ1
В 6 раз Снижение количества процедур повторного позиционирования иглы в сравнении со стандартной КТ1
29% Снижение лучевой нагрузки в сравнении со стандартной КТ1


Чрескожная абляция (радиочастотная, микроволновая и криоабляция) — это зарекомендовавший себя малоинвазивный метод лечения опухолей почек, печени, легких и костей. Крайне важно определить границы опухоли, выбрать оптимальное количество игл и соответствующую траекторию для полного лечения опухоли без повреждения окружающих тканей. Прицельное продвижение к поражению при низкой дозе без изменения положения иглы увеличивает шансы на успех и снижает риск осложнений при биопсии или абляции. Проверить результат проведенной абляции можно с помощью 3D-визуализации, пока пациент находится на столе.

SmartCT Soft Tissue представляет собой метод получения КТ-подобных изображений, при котором процесс сопровождается пошаговыми инструкциями и расширенными инструментами 3D-визуализации и измерения; все элементы доступны на модуле сенсорного экрана прямо у стола.

Dual View позволяет наложить 3D-изображение, полученное до процедуры (КТ/МРТ/ПЭТ-КТ), на двойное КТ-подобное 3D-изображение, полученное во время процедуры, для улучшения визуализации поражений и получения важных данных, необходимых для планирования траектории иглы.

Технология XperGuide обеспечивает точный визуальный контроль при ведении иглы к исследуемой области в режиме реального времени, накладывая изображения предварительно запланированной траектории на рентгеноскопические изображения3.

Благодаря КТ-подобной визуализации возможно получение КТ-подобных изображений после абляции с целью определения степени охвата опухоли и подтверждения эффективности лечения.
Решения Philips для интервенционной онкологии обеспечивают руководство и поддержку при принятии решений во время процедуры химиоэмболизации опухоли. Этот метод локальной химиотерапии злокачественных новообразований использует эмболизацию питающей артерии эмболизирующим материалом, содержащим противоопухолевый препарат.
Узнать больше Литература * XperGuide Ablation — это дополнительная функция XperGuide
You are about to visit a Philips global content page
Continue